از سرطان حفره دهان و زبان چه میدانید؟
سرطان دهان به عنوان ششمین سرطان شایع جهان شناخته میشود و برخی از مبتلایان به علت اطلاع نداشتن از بیماری و مراجعه نکردن به پزشک، جان خود را از دست میدهند.
به گزارش
خبرگزاری صدا و سیما، به طور کلی، سرطان دهان به دستهای از بیماریهای سرطانی مربوط به ناحیه سر و گردن گفته میشود که منحصراً دو ناحیه فضای دهانی و اورنوفارنکس را مورد هدف قرار میدهند.
سرطان دهان میتواند بر هر یک از بخشهای حفره دهانی لبها، بافت تشکیل دهنده خطوط لبها، دندانها، جلوی دو سوم زبان، لثهها، منطقه دهان زیر زبان و سقف دهان یا همان کام را شامل شود.
سرطانهای دهانی معمولاً میتوانند انواع مختلفی داشته باشند، اما بررسیهای میکروسکوپی نشان میدهد که در اکثر مواقع، سر منشأ سلولهای سرطانی بافت سنگفرشی سطح دهان است.
نشانهها و علائم:
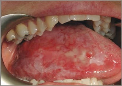
نشانههای اولیه و زودرساین بیماری میتواند شامل لکههای قرمز یا سفید طولانی مدت، زخم همیشگی، تورم رو به رشد، تحرک و جابجایی ناگهانی دندان، خونریزی غیرطبیعی و خستگی طولانی مدت است.
کسانی که در حفره دهان، رو یا زیر زبان یا کنارههای دهان، زخمی را مشاهده میکنند که بیش از دو هفته طول کشیده، اما خوب نشده است یا فَک خود را نمیتوانند به راحتی و خوب حرکت دهند باید به آن توجه و به پزشک مراجعه کنند.

طیف گسترده نشانههایی از قبیل سفت شدن مناطقی از سطح دهان، تغییرات ظاهری دهان و لب، انسداد مسیرهای هوایی، عفونت گوش میانی، گوش درد، گرفتگی عضلات فک، بلع سخت، تورم غدد لنفاوی، درد مقاوم وایجاد مشکل در بینایی فرد میتواند از علائم ثانویه این بیماری باشد.
چه کسانی بیشتر در معرض این سرطان قرار دارند؟
بر اساس یافتههای محققان، شیوع این سرطان در بین آقایان دو برابر بیشتر از خانمها است و مصرف کنندگان سیگار و انواع فرآوردههای دودی، پنجاه برابر و مصرف کنندگان مشروبات الکلی تا شش برابر بیشتر از دیگران به این سرطان مبتلا میشوند.
افرادی که در خانواده آنها سابقه سرطان وجود دارد و در سن جوانی در معرض بیش از حد آفتاب بوده اند هم میتوانند بیشتر از دیگران در معرض سرطان حفره دهان و زبان قرار دارند.
تشخیص بیماری:
تشخیص زود هنگام بیماران مبتلا به سرطان دهان باعث کاهش مرگ و میر و کمک به بهبود درمان میشود و جراحان دهان و دندان پزشکان میتوانند مبتلایان را در مراحل اولیه تشخیص دهند.
در صورت مشاهده موارد مشکوک توسط پزشکان، ممکن است آزمایشهای تخصصی از قبیل بیوپسی، عکس برداری اشعهایکس از قفسه سینه، سیتی اسکن و ام آر آی در دستور کار قرار گیرد.

به طور کلی تنها راه قطعی برای تشخیص وجود سلولهای سرطانی یا پیش سرطانی از طریق بیوپسی و ارزیابی میکروسکوپی سلولها در نمونه برداشته شده است.
بیوپسی بافتی، از زبان یا سایر بافتهای دهان و بررسی میکروسکوپی ضایعه، تشخیص سرطان دهان و یا پیش سرطانی را تائید میکند.
راههای درمان:درمان بیماران مبتلا به سرطان دهان از نظر پزشکان مربوطه گسترده است و درمان آن معمولا توسط یک تیم چند رشتهای با متخصصان درمان در زمینههای اشعه جراحی، شیمی درمانی، تغزیه، دندانپزشکی و حتی روانشناسی که در معرض تشخیص، درمان، توان بخشی و مراقبت از بیمار هستند انجام میشود.
بعد از تشخیص، در مرحله اول اگر تومور به اندازه کافی کوچک باشد، بهترین راه جراحی و موثرترین روش، رادیوتراپی داخلی (براکی تراپی) است که این روش جدیدترین و بدون عارضهترین راه درمان این سرطان است.
در صورت گستردگی محل درگیر در سرطان، جراحی آن نیازمند سطح بالاتری از تکنیکها و تجهیزات است؛ ممکن است تعداد جراحیهای مورد نیاز بیش از یک مورد باشد و حتی جراحیهای پلاستیک جهت بازسازی اندام آسیب دیده در دستور کار قرار گیرد.

معمولاً بیماران مبتلا به سرطان دهان در طول زندگی خود از مشکلات عدیدهای از قبیل مشکلات گفتاری، مشکل نگه داشتن وزن، مسائل مربوط به تیروئید، مشکلات بلع و عدم توانایی بلع، از دست دادن حافظه، ضعف، سرگیجه، کاهش شنوایی رنج میبرند.
پس از درمان، توان بخشی برای بهبود حرکت، جویدن، بلعیدن و سخن گفتن ضروری است.
راههای پیشگیری:
همیشه گفته شده که پیشگیری بهتر از درمان است؛ چه خوب است که قبل از اینکه درگیر این بیماری شویم، به نکات پیشگیرانه آن توجه کنیم تا درگیر سرطان حفره دهان و زبان نشویم.
بهترین راه پیشگیری از این بیماری، ترک استعمال دخانیات و مصرف مشروبات الکی است و مسواک زدن و استفاده از نخ دندان نیز میتواند ابتلای افراد به این سرطان را کاهش دهد.
همچنین استفاده از میوه و سبزیجات، جلوگیری از تبخالهای دهان با استفاده از واکسنهای ضد تبخال یا HPV از دیگر راههای پیشگیری از سرطان حفره دهان و زبان است.
خوردن غذا یا چای داغ به ابتلای این بیماری کمک میکند؟
هرچند خوردن غذاهای داغ عوارض و مشکلاتی را برای ما به وجود بیاورد، اما در سرطان حفره دهان و زبان تاثیری ندارد و این موضوع تاکنون در هیچ یک از مقالات علمی ثابت نشده است.
نتیجه گیری:
باتوجه به مطالب گفته شده، چه خوب است که استعمال دخانیات و مصرف مشروبات الکی را کنار گذاشته و علاوه بر بررسی دهان و معاینه آن توسط دندانپزشک و پزشک دهان، فک و صورت، به زخمهایی که در بیشتر از دو هفته در دهان ما هستند و خوب نمیشوند حساس شویم و برای درمان آن به پزشک مراجعه کنیم، چراکه درمان به موقع این بیماری میتواند مبتلایان را از مرگ حتمی نجات دهد.